心悸、盜汗、竟是罹患罕病 台中慈濟醫院 跨科拆彈 !

[新媒社 記者張銀澤/台中報導] 年輕女性因膀胱炎反覆感染就醫,意外發現腹腔有腫瘤,轉到臺中慈濟醫院尋求第二意見。外科部主任余政展與醫療團隊從偵探到拆彈,步步為營,手術後腫瘤確認是每百萬人口僅2至8例的「副神經節瘤」。
「『副神經節瘤』是神經內分泌瘤的一種,從發生率看實屬罕見。」余政展指出,神經內分泌瘤是從特化的神經內分泌細胞長出來,同時具有神經與內分泌的特徵,無時無刻都在分泌壓力賀爾蒙,作用就像強心劑,讓病人出現無法控制的高血壓、陣發性頭痛、出汗和心搏過速等症狀。
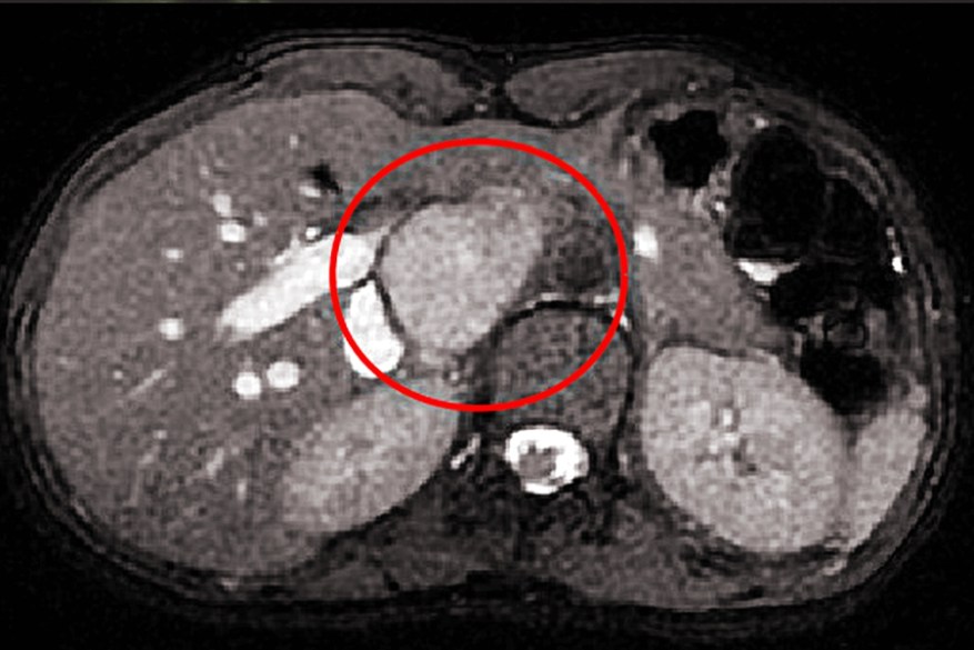
25歲病人主述多年頭昏、心悸與盜汗,始終原因不明,因膀胱炎就醫經腹部電腦斷層檢查,意外發現肝臟旁邊長了一顆超過6公分腫瘤,醫師說必須及早開刀解除隨時爆炸的危機,但手術難度太高,無法處理,才到臺中慈濟醫院尋求第二意見。
余政展主任從肝臟核磁共振檢查影像確認,腫瘤位於肝臟後面、脊椎旁邊,已經大到擠開腹腔多條大血管,唯一解決方式是切除病灶。但腫瘤被肝臟、胰臟與腎臟血管主動脈,還有下腔大靜脈等大血管緊緊包圍,必須小心沿著大血管手術,稍一閃神幾千毫升的大失血,可能就是病人的生死關頭。
手術難度確認後,必須瞭解腫瘤病因,醫療團隊先安排腹腔鏡切片,檢驗科醫師病理報告顯示病人罹患「神經內分泌瘤」。余主任與麻醉科、泌尿科、心臟外科醫師召開術前跨科討論,因應腫瘤特性決定先讓病人服用預防性降壓藥,避免血壓忽高忽低作亂;並推演手術過程可能發生的各種情況與因應做法再開刀。他形容是「抱著拆炸彈的心情」,小心翼翼才順利切除腫瘤病灶。
病人表示,從小身體狀況不斷,腹痛、頭痛、頭昏。曾經心悸到送急診,寒冬還嚴重盜汗到必須開電風扇,卻始終查不出問題。而他在開刀後再也沒有很喘、很熱的情形,感恩醫療團隊用心守護,讓他重新獲得健康。
[臺中慈濟醫院 外科部主任 余政展 關心您 ! ]

你必須登入才能發表留言。